診療科・部門
内科
医師
出口 剛
宮原 嘉之
加藤 浩之
出口 通子
古林 正夫
松園 和久
岩﨑 博圓
中村 継人
長島 義斉
赤羽目 翔悟
- 【診察内容】
- 一般内科診察、健康相談、栄養指導等症状に合せて血液検査、画像診断(超音波検査・エックス線検査、MRI検査等)、内視鏡検査(胃・大腸)をはじめ各種検査を用いて迅速・正確な診断と適切な治療を提供しています。
整形外科
医師
山本 登
- 【診察内容】
- 外傷及び腰痛、関節リウマチ、変形性膝・股関節症等の慢性疾患、骨粗鬆症などの整形外科全般の診療を行います。リハビリテーションも充実しており外来での通院リハビリテーションも行っています。
循環器内科
医師
宮原 嘉之
- 【診察内容】
- 虚血性心疾患(狭心症・心筋梗塞)、不整脈、高血圧症等心電図、心臓エコー検査等を行い、狭心症、心筋梗塞、心不全、不整脈などの治療を行っています。冠動脈CTや心臓カテーテル検査などの精密検査が必要な場合は長崎大学病院等をご紹介致します。
脳神経内科
医師
辻野 彰
- 長崎大学病院脳神経内科教授
- 神経内科専門医・指導医、認知症専門医・指導医、脳卒中専門医・指導医
- 【診察内容】
- 脳卒中(脳出血・脳梗塞)、認知症、頭痛、物忘れ、パーキンソン病、脊髄小脳変性症などの神経難病などのしびれ、物忘れ、めまいなどあらゆる神経症状でお悩みの方お気軽にご相談下さい。
肝臓病専門外来
医師
加藤 浩之
当院は、肝疾患専門医療機関です。
眼科
医師
宿輪 恵子
- 【診察内容】
- 一般的眼科診療(糖尿病合併症も含む)に加え、眼底の定期検査や緑内障、白内障の治療を行います。
皮膚科
医師
宿輪 哲生
- 【診察内容】
- 一般皮膚疾患(湿疹、水虫、にきび、アトピー性皮膚炎)、褥瘡(床ずれ)などの皮膚科全般の診療を行います。
泌尿器科
医師
長崎大学病院医師による診察
- 【診察内容】
- 頻尿、過活動膀胱、前立腺肥大症、尿もれ等の診察を行います。
耳鼻咽喉科
医師
藤原 久郎(水)
長崎大学病院医師による診察(土)
- 【診察内容】
-
えん下外来(水)
一般的耳鼻咽喉科診療を行います。(土)
歯科
医師
上野 功
- 【歯科診療について】
- 当院では一般患者様向け(外来患者向け)、及び入院患者様や三原の園に入所されている患者様につきましても歯科診療を行っている医療機関です。 一つの施設内で歯科診療を行うことが可能ですので、入院患者様や入所されている方など、わざわざ外出する必要はなく、安心して治療を行うことができます。 一般の患者様が多く受診されるため、歯科の診療につきましては完全予約制となります。
- 【診察内容】
-
一般的歯科診療、口腔外科
常勤医師として在中しており、一般外来患者、入院患者にかかる一般的歯科診療などを行っております。
放射線科
医師
上谷 雅孝
- 【診察内容】
- 三原台病院放射線科の上谷雅孝です。私はこれまで長崎大学医学部及び関連施設の放射線科に勤め、教授の任を終え、令和5年4月から当院の常勤医として働いております。脳、脊椎・脊髄、呼吸器、腹部、骨・関節領域の画像診断(X線写真、MRI、CT)を専門としており、主に整形外科やリウマチ関連の疾患について診療と硏究を行ってきました。三原台病院の診療放射線技師は熱心に仕事に取り組み、患者さんのためにレベルの高い画像検査を行なっています。私もこれまでの経験を活かし、最適な医療のための画像診断を提供できるように努力してまいります。
放射線科スタッフ
三原台病院放射線科は4名の診療放射線技師により検査を実施しています。正確な診断に必要な画像を提供し、患者様への丁寧な接遇を行い、必要最低限の放射線被曝となるように心がけながら検査を行っています。また、小さな医療事故や院内感染を起こさないよう、細心の注意を払いながら、安心安全な検査となるように勤めています。
-
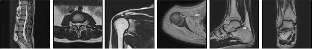
MRI検査について
当院のMRI装置はPhilips社製Ingenia1.5Tを使用しています。このMRI装置は、超電導磁気共鳴画像診断装置で人体の断面像を高画質で得ることができ、より詳細な画像を提供することで精度の高い診断が可能となります。画像を得るために使用しているエネルギーは、磁場と電磁波の為、放射線被曝はありません。しかし、金属成分を含む物を身につけて検査を行うと、非常に危険な場合があるため、問診などにより安全性の確認が重要となります。
MRI検査の注意事項
MRI検査にて患者様の安全性を担保するために、検査前に問診を行い十分気をつけておりますが、患者様のご協力が非常に重要です。気になることや些細な事でも、ご不明な点があればスタッフへお問い合わせください。下記に注意事項を示します。
- 検査内容にもよりますが、検査時間が20~30分かかります。
- 手術により体内に金属や機器を挿入している場合、金属成分によっては検査が受けられない場合があります。
- 時計や携帯電話など機器を持ち込んだ場合、破損することがありますので、必ず取り外して頂きます。
- 小さな金属でも身につけて検査を行うと火傷の可能性があります。
- 湿布などの貼り薬や、カイロなどを身につけ検査を行うと火傷の可能性があります。
-
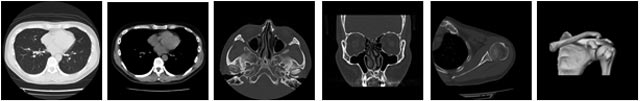
CT検査について
当院のCT装置はCanon社製Aquilion Lightningを使用しています。このCT装置は、16列のタイプで人体の断面像を得ることが出来ます。画像を得るために使用しているエネルギーは放射線で、検査の際には放射線被曝を伴います。しかし、診断に必要な画質を保ち、なおかつ必要最低限の放射線量を使用しているため、安心して検査を受けて頂いています。
CT検査の注意事項
CT検査では放射線被曝を伴うため、妊娠中の患者様はリスクが大きくなります。また、除細動器を体内に埋め込まれている患者様への検査は、機器誤作動防止のため、除細動器に放射線を照射しない必要性があります。下記に注意事項を示します。
- 妊娠している患者様は、必ず申し出てください。
- 妊娠しているか不明の患者様は申し出てください。妊娠していないことが確定してから検査を行う必要性があります。
- 除細動器を埋め込まれている患者様は申し出てください。慎重に検査を行います。
-
マンモグラフィ検査について
当院のマンモグラフィ装置はFUJIFILM社製AMULET Innovalityを使用しています。このマンモグラフィ装置は、直接変換方式のタイプで分解能が50μmと非常に高画質な画像を提供できる為、初期乳癌を見つける為の微小な石灰化の形状や分布も詳細に描出することが可能です。また、撮影を行うスタッフは撮影認定技師の資格がある女性の放射線技師が行うため、安心して検査を受けることが出来ます。
マンモグラフィ検査の注意事項
マンモグラフィ検査では放射線被曝を伴うため、妊娠中の患者様はリスクが大きくなります。また、乳房を圧迫して撮影する為、豊胸術によるインプラント挿入の患者様は破損の恐れがあるため、検査が出来ません。また、乳房内に大きな腫瘍が疑われる場合、撮影時に乳房内で破裂する可能性があるため、慎重な検査が必要となります。下記に注意事項を示します。
- 妊娠している患者様は、必ず申し出てください。
- 豊胸術受けている場合は、必ず申し出てください。
- 乳房にしこりがある患者様は、必ず申し出てください。
-
その他の検査について
レントゲン検査
当院のレントゲン装置はKonica社製AeroDR fineのフラットパネルを使用しています。分解能が100μmと非常に高画質な画像を提供出来ます。 レントゲン検査は放射線を使用しますが、必要最低限の放射線量を使用しています。しかし、妊娠の可能性がある方はリスクが高い為、スタッフへご相談ください。
X線透視検査検査
当院のX線透視装置はSHIMADZU社製FLEXA VISIONを使用しています。X線透視装置での主な検査は、胃がんX線検診(バリウム検査)やX線を照射しながらリアルタイムで人体内部を観察しながら行う検査等です。X線透視検査は放射線を使用しますが、必要最低限の放射線量を使用しています。しかし、妊娠の可能性がある方はリスクが高い為、スタッフへご相談ください。
骨密度検査
当院の骨密度装置はHITACHI社製ALOKA ALPHYS Aを使用しています。非利き腕の前腕部にて検査を行うため、着替えなどの必要はありません。検査時間は2~3分程度で結果はすぐに出来上がります。骨密度検査は放射線を使用しますが、非常に微量な放射線量を使用しています。しかし、妊娠の可能性がある方は、プロテクター(放射線防護着)を着てからの検査となるため、スタッフへご相談ください。
